Faccette Dentali Estetiche
Tutto quello da sapere per avere le tue splendide faccette dentali in ceramica a Firenze
Home
» Foto Gallery
Foto Gallery
<<
1
2
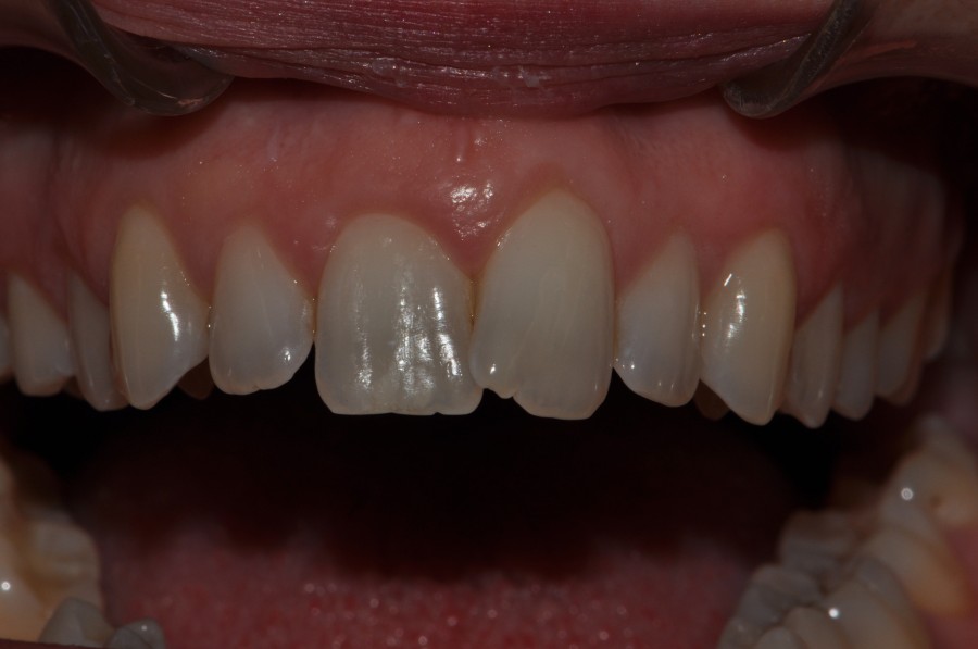
due faccette e chirurgia gengivale estetica per incisivi accavallati e sovrapposti
Denti accavallati sovrapposti: bisogna abbinare due faccette e chirugia estetica gengivale
08
Immagini
<<
1
2
Home
Il dentista estetico
I costi delle faccette dentali
Estetica dentale a Firenze
Estetica dentale
Dove siamo
Consulenza professionale
Contatti
Definizione delle faccette
Indicazioni per le faccette
Il mock-up delle faccette
Il colore delle faccette
La linea del sorriso
Gengive e faccette
Caratteristiche faccette
Preparazione,improntascansione
Faccette provvisorie
Cementazione delle faccette
Foto Gallery